Elementary Lesions

Elementary Lesions

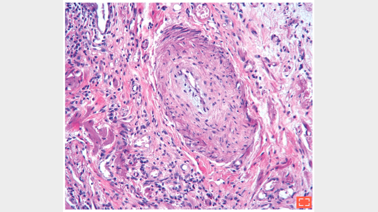
Vascular changes

Characteristics

  • Reductions of the vascular lumen

  • Marked intimal and medial hyperplasia in this artery

  • Sometimes complete luminal occlusion

1. Vascular changes

Vascular changes

2. Vascular changes

Vascular changes

Hypertensive arterial lesion.

3. Vascular changes

Vascular changes

Reduction of the vascular lumen in fibrotic area.