Elementary Lesions

Elementary Lesions

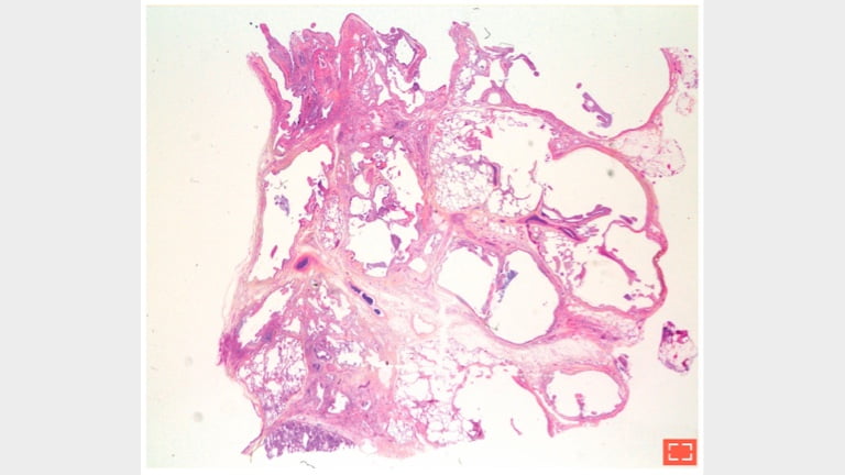
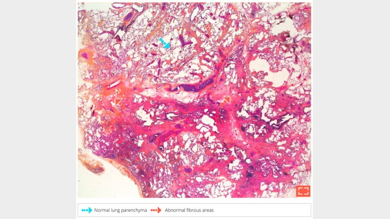
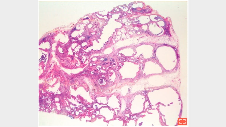
Patchwork pattern

Characteristics

  • Disseminated, non uniform patchwork pattern of interstitial fibrosis

  • Non-uniform, heterogeneous appearance with alternation between abnormal fibrotic areas and apparently normal lung parenchyma at low-magnification.

  • The juxtaposition of abnormal areas and normal areas resembles a patchwork, hence the term “patchy”.

 

Diagnostic Orientation

  • Topographic diagnosis at low-magnification

  • Fibrosis

    • easily identifiable by the saffron in HES (Hemalum-EosinSaffron)

    • on special staining like trichrome

1. Patchwork pattern

patchwork-pattern

2. Characteristic patchwork pattern

Characteristicpatworkpattern@2x

3. Characteristic patchwork pattern

Characteristicpatworkpattern-2@2x

4. Less typical distribution of fibrosis: absence of normal nonfibrotic parenchyma

parenchyma@2x

5. Less typical distribution of fibrosis: absence of normal nonfibrotic parenchyma

parenchyma_2@2x