Elementary Lesions

Elementary Lesions

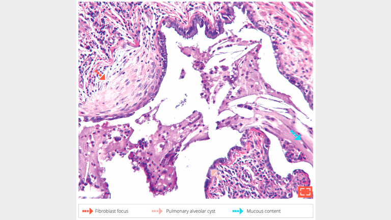
Fibroblast focus

Temporal variability of fibrosis

Characteristics

  • Localised focus of active, ongoing fibrosis

  • Stretched out elongated structure of active fibrosis rich in myofibroblasts embedded within myxoid stroma

  • Characteristic of usual interstitial pneumonia. Helps confirm the diagnosis

Diagnostic Orientation

  • Topography

    • At the expanding front of the fibrosis between the apparently normal lung and the established areas of fibrosis

  • Orientation

    • Parallel to the surface of the alveolar cavity

    • Protrudes into the alveolar lumen

1. Fibroblast focus

Fibroblast focus

2. Fibroblast focus

2. Fibroblast focus

Collagen dense scar tissue, with a fibroblast focus stand out at low magnification

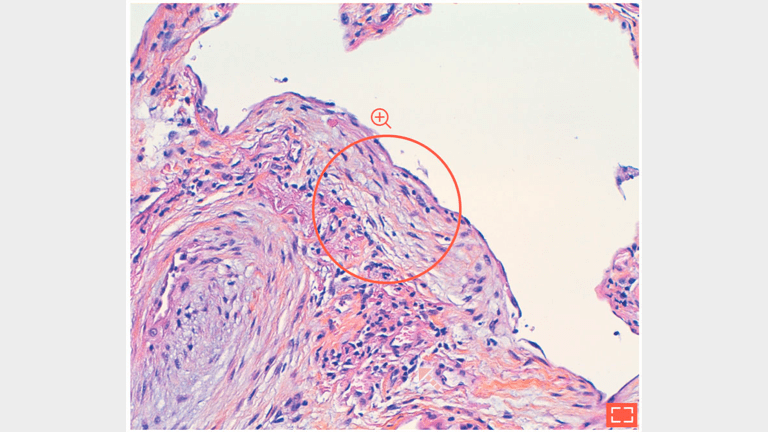
3. Fibroblast focus

3. Fibroblast focus

Mature inactive collagen disposition showing mild associated chronic lymphocytic infiltrate and typical fibroblast focus

4. Fibroblast focus

4. Fibroblast focus

Collagen fibrous scar with fibroblast focus protruding into the alveolar lumen at the expanding front of the fibrosis.

5. Fibroblast focus

5. Fibroblast focus

Fibroblast focus protruding into the alveolar lumen.

6. Fibroblast focus

6. Fibroblast focus

Fibroblast focus: myofibroblasts stretched out on loose collagen tissue.

7. Fibroblast focus

7. Fibroblast focus

The fibroblast focus is covered by base of flattened alveolar cells.