skip
Imaging Atlas Logo
Boehringer Ingelheim
Imaging Atlas Logo
Boehringer Ingelheim
  • Home
  • Chest CT

    Chest CT

    • Chest CT
    • CT diagnosis criteria for UIP
      • Elementary lesions
      • Go to this section
      • Interlobular septal thickening
      • Intralobular reticulations (lines)
      • Ground-glass opacity
      • Ground-glass opacity with crazy paving pattern
      • Mosaic attenuation pattern
      • Consolidation
      • Micronodulation
      • Cysts
      • Honeycombing
      • Traction bronchiectasis/ bronchiolectasis
    • HCRT Techniques
  • Histopathology

    Histopathology

    • Histopathology
    • Surgical Lung Biopsy Technique
      • Elementary lesions
      • Go to this section
      • Patchwork pattern
      • Architectural distortion
      • Honeycomb change
      • Bronchial epithelial metaplasia
      • Fibrosis
      • Smooth muscle hyperplasia (I)
      • Smooth muscle hyperplasia (II)
      • Vascular changes
      • Fibroblast focus
    • Histopathological diagnostis criteria for UIP
Boehringer Ingelheim

Elementary Lesions

Elementary Lesions

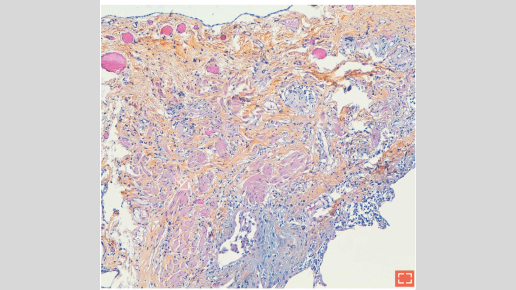
Smooth muscle hyperplasia (II)

Characteristics

  • Hyperplastic smooth muscle bundles within subpleural fibrosis

Smooth muscle hyperplasia

Smooth muscle hyperplasia
Smooth muscle hyperplasia

In This Section

In This Section

  • Patchwork pattern
  • Architectural distortion
  • Honeycomb change
  • Bronchial epithelial metaplasia
  • Fibrosis
  • Smooth muscle hyperplasia (I)
  • Smooth muscle hyperplasia (II)
  • Vascular changes
  • Fibroblast focus
  1. Home
  2. Smooth muscle hyperplasia (II)
logo-bi@3x.png
Imaging Atlas
  •   

  

© 2010-2022 Boehringer Ingelheim International GmbH. All rights reserved.