Elementary Lesions

Elementary Lesions

Honeycombing

Characteristics

  •  Clustered cystic airspaces with well defined walls, measuring 2-10 mm in diameter, sometimes reaching 25 mm, usually in subpleural regions 

Diagnostic Orientation

  • Intralobular reticulation

  • Traction bronchiectasis and bronchiolectasis

  • Loss of lobar volume

  • Fissured distortion

1. Honeycombing

honey-1

Subpleural honeycombing forming several layers of cysts in a 73-year-old man with usual interstitial pneumonia.

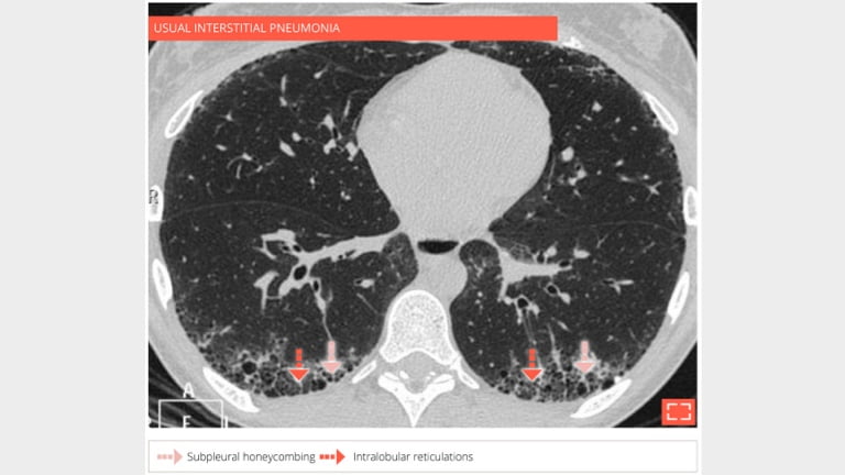
2. Honeycombing

honey-2

69-year-old man with usual interstitial pneumonia. Subpleural honey combing is associated with reticular pattern.

3. Honeycombing

honey-3

Sagittal reformation in the same patient showing the preferential subpleural and basal distribution.

4. Honeycombing

honey-4

56-year-old man with history of sarcoidosis. Typical honeycombing in a upper lobe distribution.

5. Honeycombing

honey-5
  • Coronal reformation in the same patient shows the association of honeycombing and reticulation in lung apices.
  • Distribution of fibrosis to apices makes this fibrosis incompatible with UIP.