Elementary Lesions

Elementary Lesions

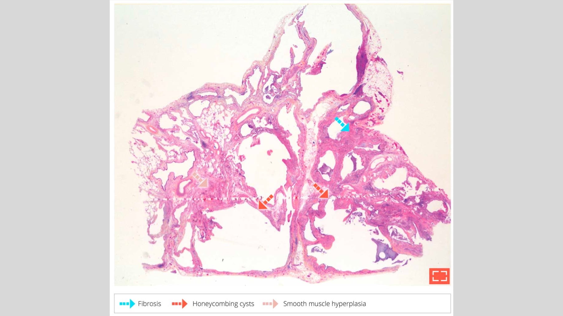
Architectural distortion

Characteristics

  • Destruction of the normal lung architecture and its replacement by fibrotic areas, fibrous scars and honeycombing cysts, sometimes both at the same time

Diagnostic Orientation

  • Association of several histological features of architectural distortion

    • honeycombing cysts

    • fibrous scars

    • smooth muscle hyperplasia

  • The honeycombing cysts are practically always present and most oftenwith fibrotic areas

  • In a few cases, the honeycombing cysts are absent and the fibrotic scars are the only sign of architectural distortion

Architectural distortion

bitmap-2-2