Elementary Lesions

Elementary Lesions

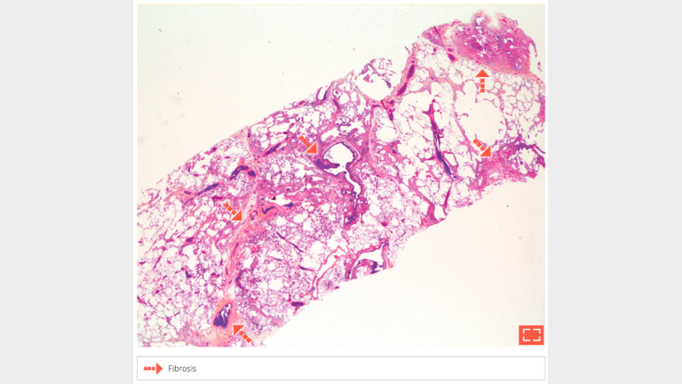
Fibrosis

Characteristics

  • Large quantities of dense connective tissue with few cells, related to inactive chronic fibrosis rich in collagen tissue

  • Pleural, subpleural, paraseptal and peri-bronchiolar topography

  • Disseminated over time: juxtaposition of dense connective tissue with few cells with fibroblast focus

Diagnostic Orientation

  • Fibrosis is characterised by expanses of collagen tissue without bronchiolar remnants or restructured alveolar cavities

  • It replaces the normal pulmonary parenchyma

  • It can contain lymphocyte infiltrates which are characteristic of chronic inflammation and small blood vessels

  • This scarring fibrosis is different from ordinary interstitial fibrosis with thickening of the pulmonary alveolar septa, but preserves the same alveolar architecture

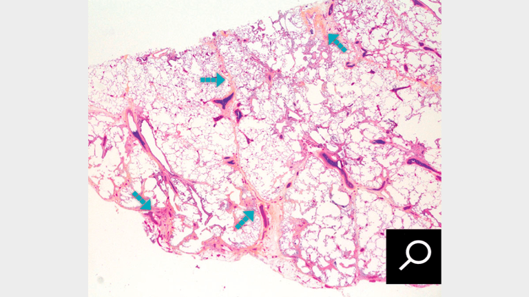
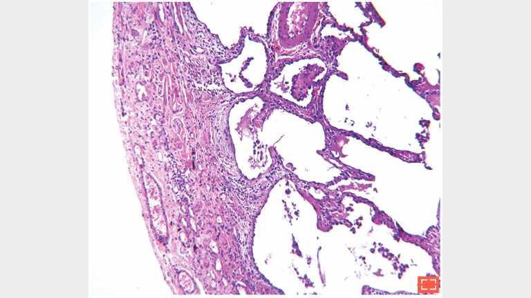
1. Fibrosis

1. Fibrosis

2. Subpleural fibrosis

2. Subpleural fibrosis

Thickening of the visceral pleura with a dense fibrous tissue

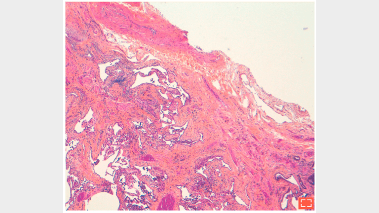
3. Subpleural fibrosis

3. Subpleural fibrosis

Subpleural thickening with fibrosis penetrating the underlying pulmonary parenchyma.

4. Paraseptal fibrosis

4. Paraseptal fibrosis

5. Paraseptal fibrosis

5. Paraseptal fibrosis

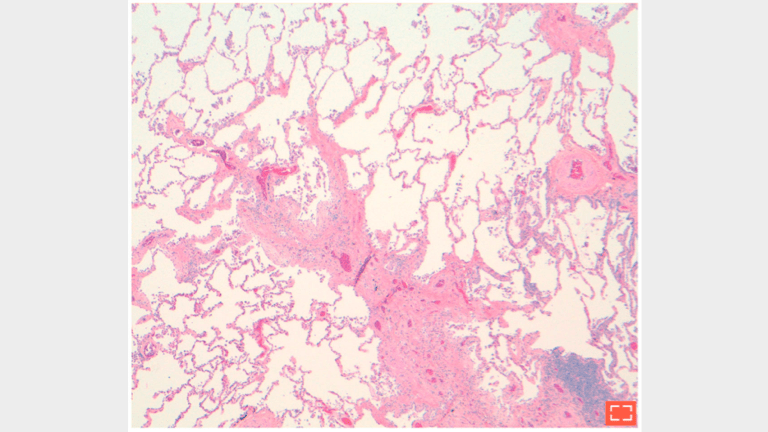
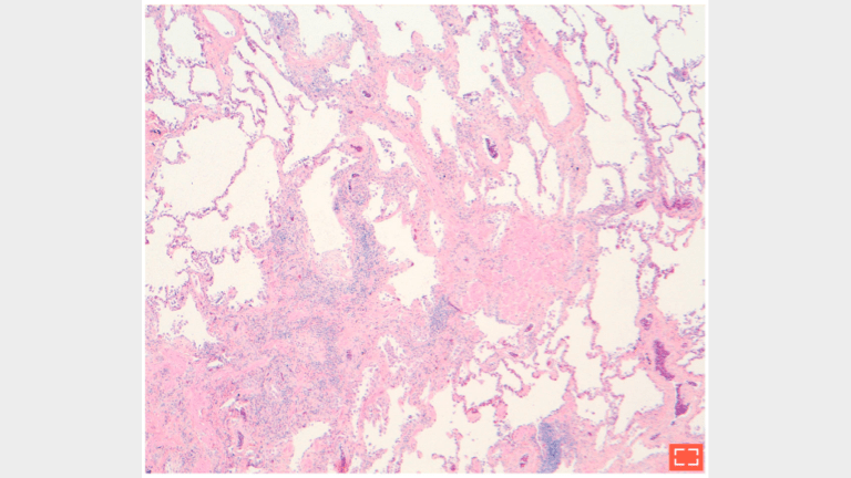
6. Paraseptal and peribronchiolar fibrosis

6. Paraseptal and peribronchiolar fibrosis

Some airspaces are replaced by an irregular patchwork of fibrous scars

7. Fibrous scarring

7. Fibrous scarring

Fibrous scar of dense connective tissue with some dispersed lymphocyte infiltrates.

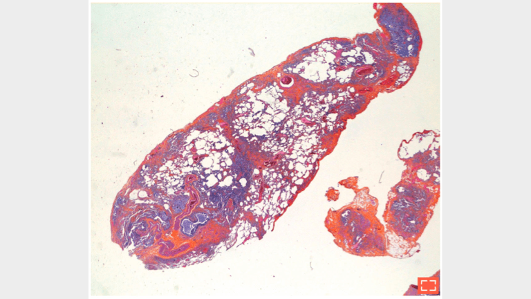
8. Fibrosis

8. Fibrosis

Less typical pattern: fibrosis without honeycombing cysts.

9. Fibrosis

9. Fibrosis

Masson’s trichrome staning: fibrosis appears green.

10. Fibrosis

10. Fibrosis

Less typical appearance: fibrosis without honeycombing cysts.

11. Fibrosis

11. Fibrosis

Fibrosis without honeycombing cysts.