Elementary Lesions

Elementary Lesions

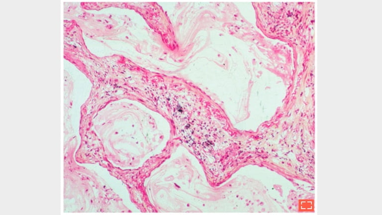
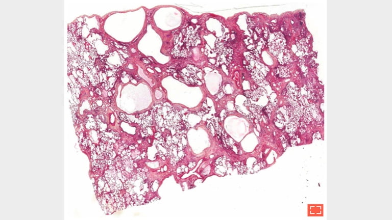
Honeycomb change

Definition

  • Irreversible terminal destruction of the lung (end stage)

Characteristics

  • Enlarged pulmonary alveolar cavities: clustered cystic airspaces

  • Thick, fibrous walls

  • At least partially lined by bronchiolar epithelium

  • Contents: mucin and/or inflammatory cells: neutrophils, macrophages, and lymphocytes

Diagnostic Orientation

  • Location

    • lower lobes

  • Alveolar epithelium

    • Absent

    • sometimes replaced by bronchiolar epithelium when the adjacent bronchiolar lining slides in. This process is known as bronchial epithelial metaplasia.

1. Honeycomb change

honeycombchange

2. Subpleural honeycombing cysts

cysts

3. Mucin filled alveolar cysts deliminated by thick fibrotic walls

group-11

4. Alveolar cysts with thick fibrotic walls

fibroticwalls

5. Mucin filled alveolar cysts

alvaolarcsts

6. Honeycombing cysts

group-5

Intraluminal mucin containing inflammatory cells. Chronic lymphocytic inflammation in the alveolar walls.

7. Alveolar cysts

group-5

Pulmonary alveolar cyst partially lined by pseudo-stratified, ciliated respiratory epithelium.