Elementary Lesions

Elementary Lesions

Mosaic attenuation pattern

Characteristics

  • Coexistence of high-density parenchymal areas (groundglass) and normal or low-density areas of the lungs

Diagnostic Orientation

  • Mosaic attenuation can translate into three types of anomalies that are sometimes intertwined:

    • obstructive small airways disease

    • alveolar interstitial infiltration

    • occlusive disease of the small pulmonary arterie

 

  • The following algorithm helps recognise the nature of the mosaic attenuation based on the size of blood vessels and expiratory air trapping
Blood_vessel

 

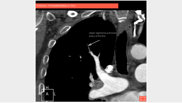
1. Mosaic attenuation of the lungs

 Mosaic attenuation of the lungs

The hypodense regions of the lung contain smaller vessels, the number of which decrease while the size of the pulmonary arteries in dense regions increases corresponding to a redistribution of vascular flow to these perfused regions. A CT scan with injection of contrast agent synchronized to opacification of the pulmonary arteries, must confirm chronic thrombosis of the pulmonary arteries.

2. Vascular mosaic attenuation

 Vascular mosaic attenuation

The CT scan with contrast medium injection to check for pulmonary artery obstruction shows the small size and distal thrombosis of peripheral pulmonary arteries, confirming chronic thrombosis. Ventilation-perfusion scintigraphy is the recommended exam for screening for these anomalies.

3. Vascular mosaic attenuation

Vascular mosaic attenuation

The CT scan with contrast medium injection to check for pulmonary artery obstruction shows the small size and distal thrombosis of peripheral pulmonary arteries, confirming chronic thrombosis. Ventilation-perfusion scintigraphy is the recommended exam for screening for these anomalies.

4. Bronchiolar mosaic attenuation

Bronchiolar mosaic attenuation

Diffuse constrictive bronchiolitis in a bone marrow transplant patient with shortness of breath and obstructive disease.
Inspiratory CT: the lung is over inflated, hypodense overall, but homogeneous.

5. Bronchiolar mosaic attenuation

Bronchiolar mosaic attenuation

Diffuse constrictive bronchiolitis in a bone marrow transplant patient.
End-expiratory CT scan: the lung has a patchy heterogeneous mosaic attenuation alternating between normal dense areas and hypodense areas suggesting expiratory air trapping, revealing small airways disease consistent with the diagnosis of constrictive bronchiolitis.

6. Head cheese sign of pulmonary mosaic attenuation

Head cheese sign of pulmonary mosaic attenuation