Elementary Lesions
Elementary Lesions
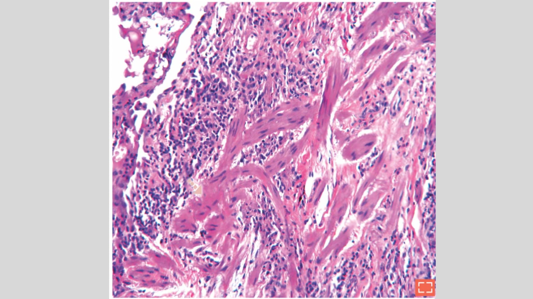
Smooth muscle hyperplasia (I)
Characteristics
-
Bundles of hyperplastic smooth muscles
-
Synonyms: “myomatosis”, “muscular cirrhosis”
-
Destruction of the normal alveolar structure by fibrosis
“Myomatosis”
Characteristics
Bundles of hyperplastic smooth muscles
Synonyms: “myomatosis”, “muscular cirrhosis”
Destruction of the normal alveolar structure by fibrosis
“Myomatosis”