Elementary Lesions

Elementary Lesions

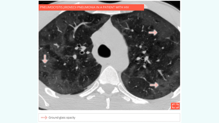
Ground-glass opacity

Characteristics

  •  Slightly increased attenuation of lung parenchyma, with preservation of vascular and bronchial margins. 

Diagnostic Orientation

  • Ground-glass opacity can be associated with various conditions:

    • Pulmonary oedema

    • Pulmonary infection: pneumocystis jirovecii pneumonia, cytomegalovirus (CMV), etc.

    • Hypersensitivity pneumonitis (HP)

    • Respiratory bronchiolitis

    • Desquamative interstitial pneumonia (DIP)

    • Acute interstitial pneumonïa (AIP)

1. Patchy ground-glass opacity

Patchy ground-glass opacity
  • Heterogeneous distribution of ground-glass opacity giving the appearance of a mosaic pattern.
  • Note that the size of pulmonary blood vessels is identical in hypo- and hyperdense regions, suggesting alveolitis.

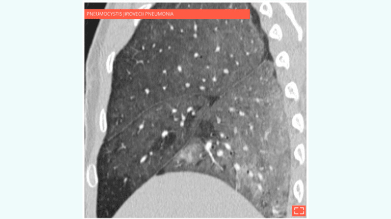
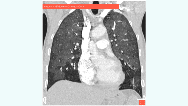
2. Diffuse ground-glass opacity

Diffuse ground-glass opacity

Diffuse ground-glass opacity of the lung sparing subpleural areas.

3. Ground-glass opacity

4. Ground-glass opacity associated with intralobular reticulations and traction bronchiolectasis

4. Ground-glass opacity associated with intralobular reticulations and traction bronchiolectasis

4. Ground-glass opacity associated with intralobular reticulations and traction bronchiolectasis
  • Radiological pattern consistent with NSIP.
  • No honeycombing.

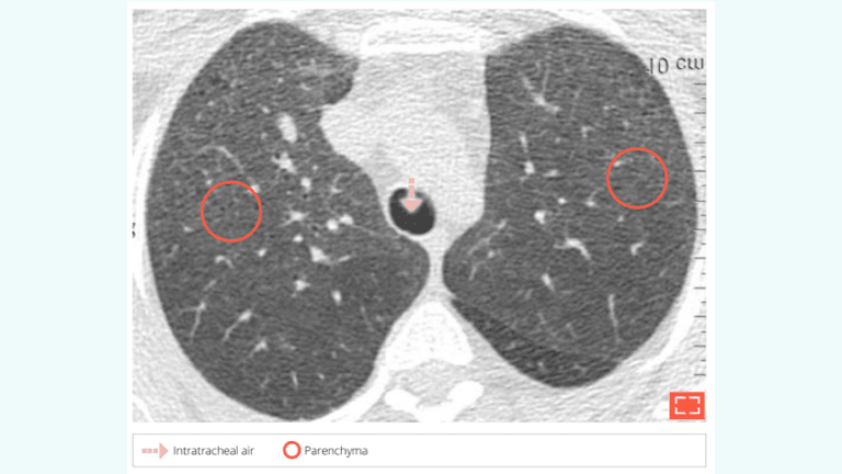
5. Ground-glass opacity with “Dark bronchus sign”

5. Ground-glass opacity with “Dark bronchus sign”
  • Diagnosing diffuse ground-glass opacity can be difficult given the homogeneous increase in pulmonary density.
  • Diagnosis then relies on comparisons of the intratracheal and bronchial air density (appearing black) and the parenchyma (appearing light grey).
  • A gradient that is too significant compared to what is normally observed leads to identification of a dark bronchus sign, indicating a diffuse abnormal opacity of the parenchyma. Unfortunately, this assessment is qualitative, not quantitative.