Elementary Lesions

Elementary Lesions

Consolidation

Characteristics

  • Increase in pulmonary attenuation, generally homogenous

    • Obscuration of the margins of vessels, and airway walls

    • Air bronchogram could be present

    • Little to no degree of pulmonary collapse

Diagnostic Orientation

  • It is useful to distinguish between acute consolidation and prolonged consolidation (> 8 weeks)

  • In cases of prolonged consolidation, the following diagnoses can be considered:

    • pneumonic-type mucinous adenocarcinoma

    • pulmonary lymphoma

    • organising pneumonia (possible migration)

    • chronic eosinophilic pneumonia (possible migration)

    • exogenous lipoid pneumonia (low attenuation < -30 HU)

 

1. Consolidation

Consolidation
  • Chronically evolving pulmonary consolidation (> 8 weeks) that is retractile with air bronchogram.
  • The chronic nature of it means a fibroscopy with lavage must be performed.
  • If results are negative, a transparietal lung biopsy should be suggested.

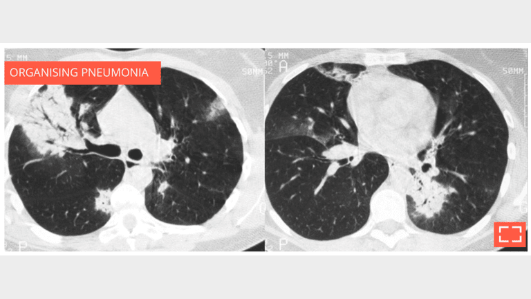
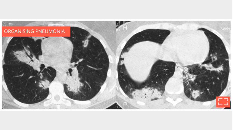
2. Alveolar consolidation

Alveolar consolidation

Bilateral subpleural alveolar consolidation with air bronchogram, in a patient with chronic cough.

  • Note whether the foci migrate between the two scans, strengthening the argument for organising pneumonia.

3. Alveolar consolidation

3. Alveolar consolidation